La Babesiosi

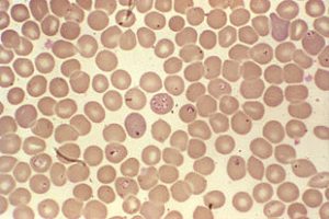
La babesiosi è una malattia trasmessa dalle zecche. È causata da parassiti protozoici del genere Babesia che infestano i globuli rossi.

babiesa_sppI segni di infestazione possono essere rappresentati da una malattia lieve che passa rapidamente a una malattia grave che porta, a sua volta, a una morte rapida. La babesiosi può essere confusa con altre condizioni che causano febbre, anemia, distruzione dei globuli rossi, ittero o urine rosse. Quindi, si devono eseguire esami di laboratorio per confermare la diagnosi.

È disponibile un vaccino basato sulla varietà di Babesia presente in Europa, che però non protegge contro gli altri tipi. La prevenzione dell’esposizione alle zecche mediante l’uso di prodotti appropriati per il controllo delle zecche e la rimozione rapida di ogni zecca proteggeranno il cane dall’esposizione a questo parassita.

Lascia un commento

Il tuo indirizzo email non sarà pubblicato. I campi obbligatori sono contrassegnati *